
At Dutch Dentist Dubai, Dr. Evelien Zijp showcases real smile transformations created with a minimally invasive and aesthetic approach. Each before-and-after case highlights natural-looking porcelain veneers, high-quality composite bonding, partial crowns, whitening treatments, and full smile makeovers. Our focus is on harmony, function, and long-lasting beauty always customised to each patient’s face, features, and dental needs.


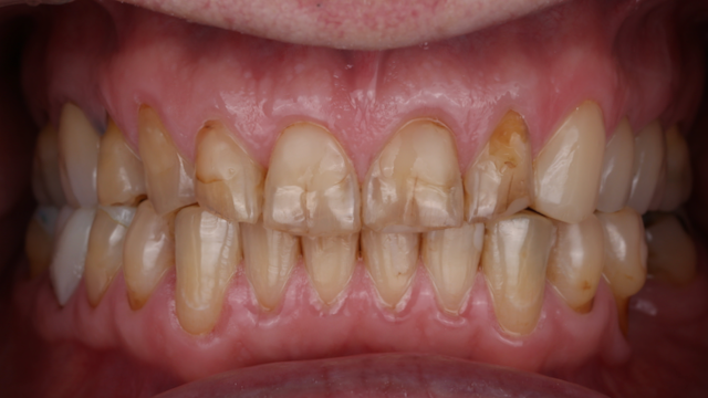
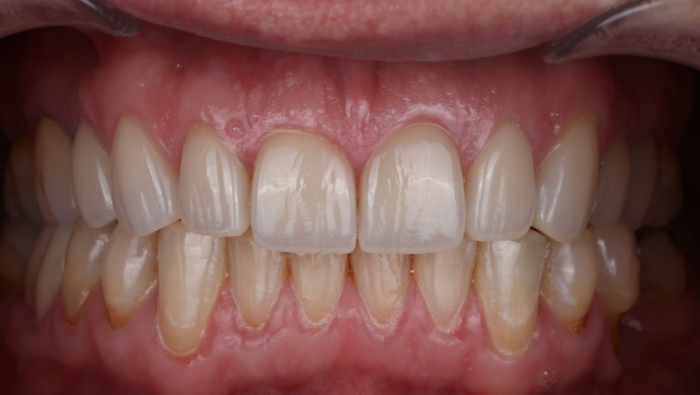
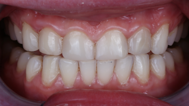
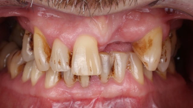
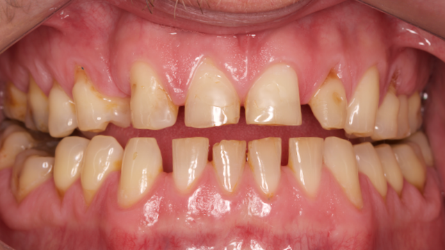
Severely worn teeth were restored with a combination of crowns and veneers, and the bite was carefully raised to rebuild function and aesthetics. Treatment started with thorough documentation and planning, followed by a guided, step-by-step approach to achieve a stable bite, natural smile, and long-lasting result.


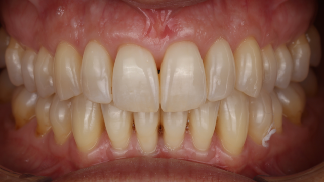
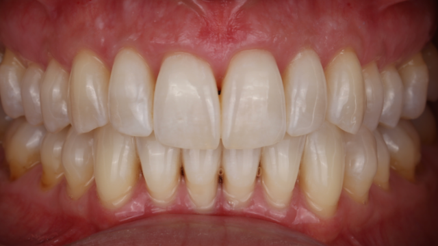
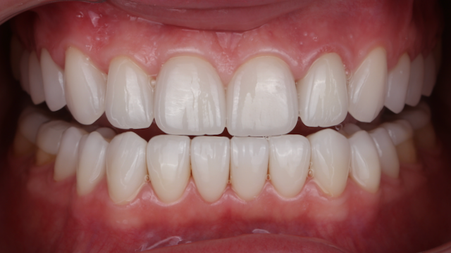
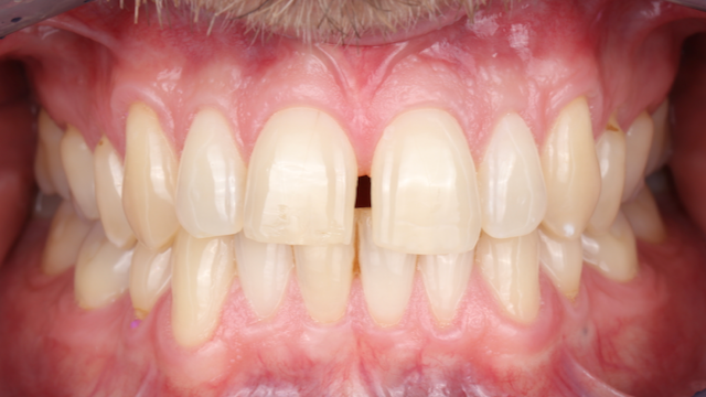
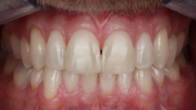
Porcelain veneers with minimal preparation were used to gently reshape and harmonise the teeth, creating a natural, balanced smile while preserving the patient’s own tooth structure.


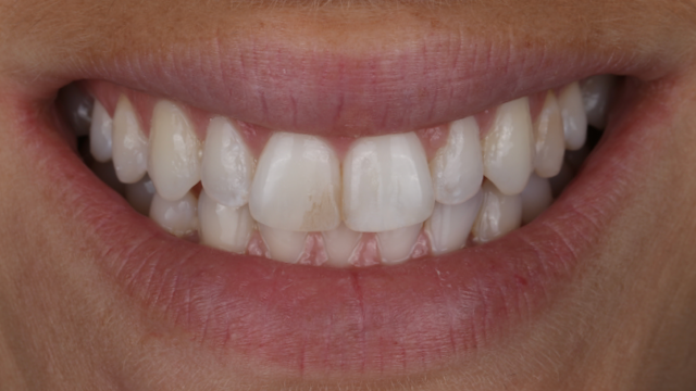
Two central composite resin veneers were placed to restore broken and discoloured teeth, bringing back a natural shape, colour, and balance to the smile.


In-office whitening was performed using the Flash system to brighten and even out the tooth colour.


Severely worn teeth were restored with a combination of crowns and veneers, and the bite was carefully raised to rebuild function and aesthetics. Treatment started with thorough documentation and planning, followed by a guided, step-by-step approach to achieve a stable bite, natural smile, and long-lasting result


Porcelain veneers with minimal preparation were used to gently reshape and harmonise the teeth, creating a natural, balanced smile while preserving the patient’s own tooth structure.


First, a professional dental cleaning was performed, followed by in-office whitening using the Flash system to brighten and even out the tooth colour.


After orthodontic treatment, the upper teeth were restored. A dental implant was placed to replace the missing lateral incisor, followed by crowns to restore function and aesthetics.


Upper crowns were made with a bridge to replace the missing upper central incisor, creating a very natural-looking result that suits the patient’s age.


After home whitening with Opalescence, the gaps between the teeth were restored with composite resin restorations for a balanced and harmonious result.


Four crowns were placed to replace failing restorations and improve aesthetics, providing a durable and long-term solution.